Have you ever noticed that your teeth seem a little off? Perhaps they are discolored, sensitive, or more prone to cavities than usual? If you’ve noticed these signs, you might be unknowingly experiencing a rare dental condition known as Amelogenesis Imperfecta (AI).
While it’s common to experience some dental issues from time to time, Amelogenesis Imperfecta is a genetic enamel disorder that can significantly affect the structure and appearance of your teeth. It’s not just your average dental problem—it’s a condition that impacts the very protective coating of your teeth, known as enamel, and can result in a variety of complications.
In this article, we’ll take a closer look at Amelogenesis Imperfecta, its symptoms, causes, and treatment options, so you can better understand what may be happening with your teeth and how to address it.
What Is Amelogenesis Imperfecta?
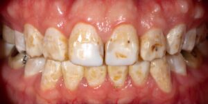
Amelogenesis Imperfecta (AI) is a rare genetic disorder that affects the development of enamel—the outer protective layer of your teeth. In individuals with AI, the enamel forms incorrectly, which can lead to teeth that are either very thin, discolored, or in some cases, missing altogether. This condition can affect both primary (baby) teeth and permanent (adult) teeth, with varying degrees of severity.
AI can result in a wide range of dental issues, such as:
Discoloration: Teeth may appear yellow, brown, or even gray, which is a result of the enamel’s abnormal formation.
Tooth Sensitivity: Due to the thin or damaged enamel, teeth may be more sensitive to hot, cold, or sweet stimuli.
Increased Risk of Cavities: With compromised enamel, teeth are more vulnerable to decay and cavities.
Tooth Structure: Teeth may be poorly shaped, leading to cosmetic concerns and potential functional issues.
The condition is inherited, meaning it is passed down through family genes. It affects both males and females, although some types of AI can present differently depending on gender and genetic variations.

Symptoms of Amelogenesis Imperfecta
Amelogenesis Imperfecta manifests in various forms, but common symptoms include:
1. Discoloration
Teeth affected by AI are often not the bright, white shade that most people are used to. Instead, they can appear:
Yellow
Brown
Grayish This is because the enamel, which is responsible for the whiteness of teeth, is either too thin or defective, allowing the underlying dentin (the part of the tooth beneath the enamel) to show through.