X-Ray Reveals Hundreds of Gold Needles in Woman’s Knees

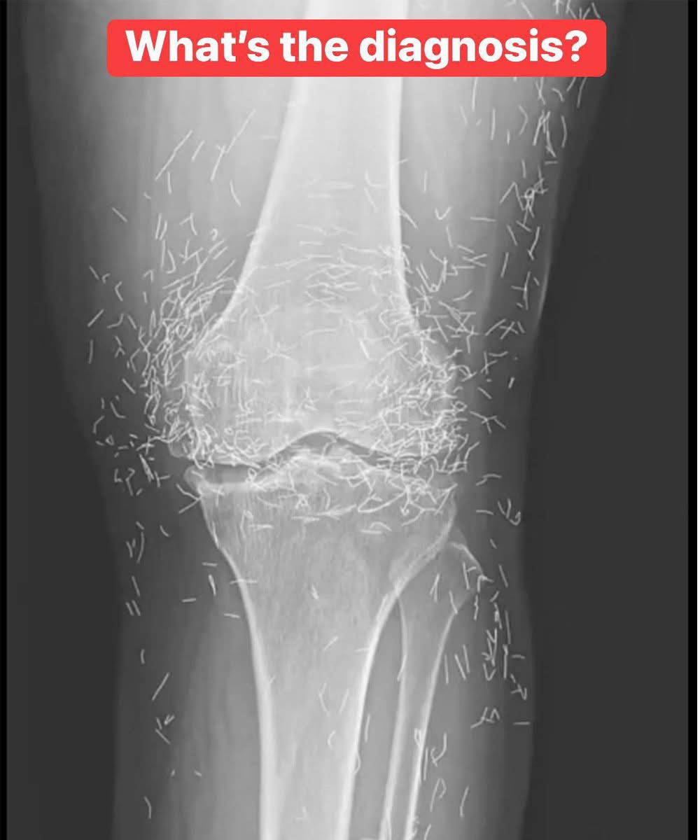
As doctors examined an X-ray image of the knees of an old woman experiencing severe joint pain, they found a gold mine: hundreds of tiny gold acupuncture needles left in her tissue.

The 65-year-old woman from South Korea had previously been diagnosed with osteoarthritis, a condition in which the cartilage and bones within the joints degrade, causing pain and stiffness. However, when pain relievers and anti-inflammatory drugs didn’t alleviate the pain in her knees and only caused stomach discomfort, she had turned to acupuncture, the doctors wrote last week in the New England Journal of Medicine.

Acupuncture is an alternative medical practice that uses needles in order to purportedly stimulate certain points on the body, to alleviate pain or to treat a variety of diseases.

In the woman’s acupuncture treatment, the needles, which were presumably made of gold, were intentionally left in her tissue for continued stimulation, the report says.

Still, leaving the needles, or any objects, in the body may not be such a good idea, according to Dr. Ali Guermazi, a professor of radiology at Boston University, who wasn’t involved with the case. Foreign objects left inside the body can lead to inflammation, abscesses and infection.

It could also make it hard for a doctor to read an X-ray. “The needles may obscure some of the anatomy,” Guermazi said.

“The human body wants to get rid of the foreign object,” Guermazi said. “It starts with some mechanism of defense, for example inflammation and forming [fibrous tissue] around the object.”

Needles left in the body can lead to other challenges, too. “The patient can’t go into an MRI because needles left in the body may move, and damage an artery,” Guermazi said.

Little evidence supports the idea that treating medical conditions with acupuncture actually works. Yet, the practice is widely used as a treatment for painful joints, and the insertion of pieces of sterile gold threads around the joint is a common treatment for arthritis in Asian countries, according to the new report.

In the US, an estimated 3.1 million U.S. adults and 150,000 children were treated with acupuncture in 2007, according to a survey by the U.S. National Institutes of Health’s National Center for Complementary and Alternative Medicine

Related Posts

Russia warns it will bring about the ‘end of the world’ if Trump…See more

A dramatic warning from Russia has intensified global anxiety after former President Donald Trump renewed rhetoric about U.S. control over Greenland, prompting sharp reactions from NATO allies…

She Helped a Man in Need for Years — Then the United States National Guard Appeared at Her Wedding

A Weekly Act of Kindness Led to an Unexpected Moment on a Wedding Day A Simple Routine in the Park Every Thursday afternoon at 4:30 p.m., Amelia…

The Haunting Story Behind the “Lansdowne Baby”: One of the Most Disturbing Postmortem Photographs Ever Taken

In 1894, photographer Stephen Horne Appleton captured a haunting and deeply unsettling image that would later become known as the “Lansdowne Baby.” The photograph was taken in…

Every Day, an 8-Year-Old Boy Carried a Heavy Backpack — Until His Mother Discovered the Hidden Wall of Cans He Built to Protect He…

In a modest neighborhood on the outskirts of Pittsburgh, Pennsylvania, the fall of 2025 arrived quietly. Leaves gathered in sidewalks and alleyways, swirling around aging brick buildings…

Police find elderly man who had been missing for 7 months; he was burie… See more

Authorities have confirmed a tragic end to a seven-month search for an elderly man who had mysteriously disappeared from his home. The man was initially reported missing…

Dramatic Moment in a Field: Man Intervenes to Save Piglet from Wolf

A dramatic scene captured on video and circulating on social media shows a man stepping in to save a small piglet from a wolf attack. In the…

Leave a Reply

Your email address will not be published. Required fields are marked *