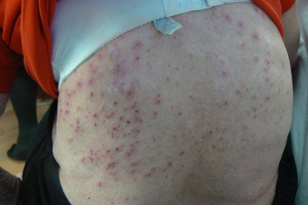
hTese are the consequences of sleeping with the…

Sleeping with the wrong person can lead to emotional turmoil that lingers long after the physical encounter is over. When intimacy is shared with someone who doesn’t value or respect you, it can leave you feeling empty, regretful, or even used. Emotions become tangled, and what was meant to be a fleeting moment of pleasure can turn into weeks or months of self-doubt and heartache. Many people struggle to separate physical intimacy from emotional attachment, making it difficult to move on without unresolved feelings.

Beyond emotional distress, there are also social and relational consequences. If the encounter was with someone already in a relationship, it could lead to broken trust, damaged friendships, or even public drama. Rumors and judgments from others may follow, affecting your reputation and mental well-being. Even if the relationship was casual, mismatched expectations can create tension—one person may want commitment while the other sees it as nothing more than a one-night stand, leading to conflict and hurt feelings.

Another major consequence is the risk to physical health. Engaging in sexual activity without proper precautions can result in sexually transmitted infections (STIs) or unplanned pregnancies. Even if protection is used, nothing is 100% foolproof, and dealing with the aftermath of a health scare or an unexpected pregnancy can be life-altering. The stress and responsibility that follow such situations can weigh heavily on both parties, especially if there is no mutual support or understanding.

Finally, sleeping with the wrong person can distort your self-perception and future relationships. It may lead to trust issues, making it harder to open up to the right person when they come along. Some people develop patterns of seeking validation through physical relationships, only to feel more unsatisfied over time. Learning from the experience is crucial—recognizing your worth, setting boundaries, and choosing partners who align with your emotional and personal values can help prevent these negative consequences in the future.

Related Posts

Russia warns it will bring about the ‘end of the world’ if Trump…See more

A dramatic warning from Russia has intensified global anxiety after former President Donald Trump renewed rhetoric about U.S. control over Greenland, prompting sharp reactions from NATO allies…

She Helped a Man in Need for Years — Then the United States National Guard Appeared at Her Wedding

A Weekly Act of Kindness Led to an Unexpected Moment on a Wedding Day A Simple Routine in the Park Every Thursday afternoon at 4:30 p.m., Amelia…

The Haunting Story Behind the “Lansdowne Baby”: One of the Most Disturbing Postmortem Photographs Ever Taken

In 1894, photographer Stephen Horne Appleton captured a haunting and deeply unsettling image that would later become known as the “Lansdowne Baby.” The photograph was taken in…

Every Day, an 8-Year-Old Boy Carried a Heavy Backpack — Until His Mother Discovered the Hidden Wall of Cans He Built to Protect He…

In a modest neighborhood on the outskirts of Pittsburgh, Pennsylvania, the fall of 2025 arrived quietly. Leaves gathered in sidewalks and alleyways, swirling around aging brick buildings…

Police find elderly man who had been missing for 7 months; he was burie… See more

Authorities have confirmed a tragic end to a seven-month search for an elderly man who had mysteriously disappeared from his home. The man was initially reported missing…

Dramatic Moment in a Field: Man Intervenes to Save Piglet from Wolf

A dramatic scene captured on video and circulating on social media shows a man stepping in to save a small piglet from a wolf attack. In the…

Leave a Reply

Your email address will not be published. Required fields are marked *